Material Detail

"Primary central nervous system lymphoma" icon

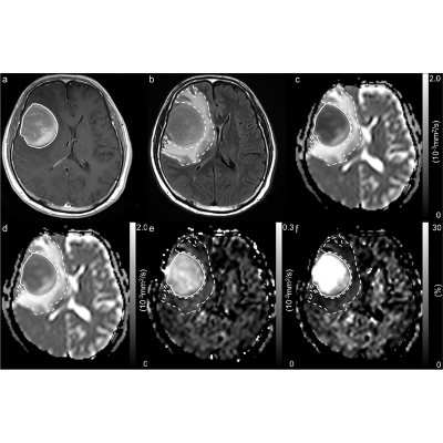
Primary central nervous system lymphoma

Primary central nervous system lymphoma (PCNSL) is a type of diffuse large B-cell lymphoma that specifically affects the brain, spinal cord, leptomeninges, and/or eyes. The exact causes are not fully understood, but research indicates involvement of immunoglobulins binding to self-proteins in the CNS, as well as genetic alterations related to B-cell receptor and signaling pathways. Further research is needed to improve diagnostic methods,...

Show More

Quality

  • User Rating
  • Comments
  • Learning Exercises
  • Bookmark Collections
  • Course ePortfolios
  • Accessibility Info

More about this material

Comments

Log in to participate in the discussions or sign up if you are not already a MERLOT member.